- 神田駅そば総合歯科の症例一覧
- オフィスホワイトニングの施術の症例
東京都千代田区内神田3丁目20−1 有美ビル 2F
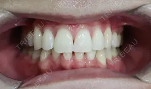
オフィスホワイトニング神田駅そば総合歯科 / 30代男性
BEFORE
DAY 0
BEFORE施術の内容
- 施術の説明
- 【施術費用は土曜日の価格です】 オフィスホワイトニング前歯16本(上8本・下8本)×2回照射(各10分)の施術を行いました。
- 費用
- 9,800
- 副作用・リスク
- ・効果には個人差があります。 ・白く浮いたような白斑(ホワイトスポット)や縞模様あらわれることがあります。(歯全体が白くなることによって徐々に目立たなくなっていきます。) ・ホワイトニング後は、冷たいものを食べた時のような知覚過敏の症状がでることがあります。 ・ホワイトニング後、24時間は色の濃い食べ物・飲み物をお控えください。
このクリニックの特別メニュー
もっと見るLoading
/uploads/case_report_image/file/258718/1ebf8b82-9aae-4d9a-a257-ac4461443d05.jpg)
![トリビュー [TRIBEAU] インストール](/_next/image?url=%2Ffrontend%2Fimg%2Fbanner%2Ffooter_mobile.png&w=1920&q=75)