- RIVER CLINIC DENTALの症例一覧
- インビザラインの施術の症例
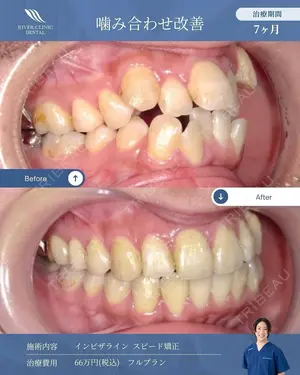
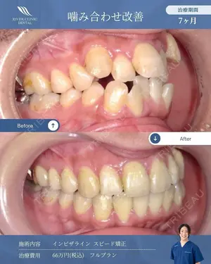
インビザライン女性
1
/
2
BEFORE
BEFORE
AFTER
AFTER
この症例で行っている施術
症例について
施術の説明
噛み合わせ矯正
リスク・副作用
歯に力をかけて動かすので疼痛、咬合痛が出ることがございます。
クリニックの症例
すべての症例を見るドクター・クリニック
施術を受けたクリニック
恵比寿駅|JR・東京メトロ「恵比寿駅」より徒歩1分
RIVER CLINIC DENTAL
初回予約は10%ポイント還元対象

/uploads/case_report_image/file/263959/231e5a2d-dc67-465f-b1ca-ab7a44c8b15f.jpg)
/uploads/case_report_image/file/263958/995b8f11-fd0f-44e4-b886-563f0a83c381.jpg)
/uploads/case_report_image/file/263957/542e30fb-1da6-40a2-af5c-76680b40c0cb.jpg)
/uploads/case_report_image/file/263956/f548f0ea-b347-4c80-91d6-5598f131773f.jpg)
/uploads/case_report_image/file/263953/8a106e3b-92f0-4293-8fc3-4846fcae6820.jpg)
/uploads/case_report_image/file/263952/8d13fae2-f8bf-48ab-896c-6189b0ffa778.jpg)
/uploads/case_report_image/file/263947/1d310237-769f-4813-8799-fc5fcfa6da21.jpg)
/uploads/case_report_image/file/263946/679a2729-0ec6-45dc-8ca7-57b9bc09b72e.jpg)
/uploads/case_report_image/file/263945/de13f6fb-33b3-4b3b-a8f3-f5ab4583e1d8.jpg)
/uploads/case_report_image/file/263944/03877fb8-0e41-4eba-8013-19c7d572d8f5.jpg)
/uploads/case_report_image/file/263508/2bf34a7d-84c4-41d7-9e23-d2c9396d5fd0.jpg)
/uploads/case_report_image/file/263507/a853e448-0d3c-4d61-8515-20ab536bc5b6.jpg)
/uploads/case_report_image/file/263505/bc0f18eb-5562-4c3a-bc66-831268e16c54.jpg)
/uploads/case_report_image/file/263504/9b9cc417-d04c-4f1b-9705-8db0a4f494f6.jpg)
/uploads/case_report_image/file/263503/af5bed2d-6406-4acc-8716-58ecc78dd521.jpg)
/uploads/case_report_image/file/263502/a0c2c721-b168-43d8-99ce-aea7b6bff662.jpg)
/uploads/case_report_image/file/263501/87282060-32e5-4c7a-b97a-77ee41c07450.jpg)
/uploads/case_report_image/file/263500/f896b9b3-c6d9-4688-aba4-53fc7599fa98.jpg)
/uploads/case_report_image/file/263499/9460c6f3-b8a9-4a98-b736-bf2ad939d480.jpg)
/uploads/case_report_image/file/263498/226439ba-a7ba-46d7-9b6e-c11af67be7a4.jpg)
/uploads/case_report_image/file/263497/f829cfc3-f586-4e18-a9c2-ce722f4eb44d.jpg)
/uploads/case_report_image/file/263496/cc634406-d94a-4f1f-a12a-7b9ee2309257.jpg)
/uploads/case_report_image/file/263344/9258dfe7-60ae-47d7-b452-57fcf1562252.jpg)
/uploads/case_report_image/file/263343/01361ff3-ad0d-4e5c-9be8-b5f4a7c74e8d.jpg)
/uploads/case_report_image/file/263342/5265b561-39fd-49da-8fb4-6e306ba888a6.jpg)
/uploads/case_report_image/file/263341/027043f4-2404-4690-a131-011320f982d3.jpg)
/uploads/case_report_image/file/263338/8f5c4427-cb6d-480b-9b15-109b71e94983.jpg)
/uploads/case_report_image/file/263337/4ae074ac-b6b2-459e-9341-25463ec6eacc.jpg)
/uploads/case_report_image/file/263335/a2db1609-b4bc-4a41-a7d7-5e3c8d245b99.jpg)
/uploads/case_report_image/file/263506/1df23aba-d1f8-4c1f-b167-3b4e01f70df3.jpg)
/uploads/case_report_image/file/263331/eb129526-0be0-4d6a-980f-9096c33a40f4.jpg)
/uploads/case_report_image/file/263330/d356c0d4-c85d-41b7-b255-6669c1e4bd00.jpg)
/uploads/case_report_image/file/216015/c3c5e583-31bf-494b-94df-38fc78baf23c.jpg)
/uploads/case_report_image/file/216014/34f0131c-b8ce-4e81-b507-8b3d4ac31b2d.jpg)
/uploads/case_report_image/file/216017/15d5a62c-95b6-41b2-aee9-715973cdcdfb.jpg)
/uploads/case_report_image/file/216016/4df19b34-ba0b-4fd4-888a-65f8e94de640.jpg)
![トリビュー [TRIBEAU] インストール](/_next/image?url=%2Ffrontend%2Fimg%2Fbanner%2Ffooter_mobile.png&w=3840&q=75)