- 渋谷の美容外科クリニック一覧
- 表参道ホワイトデンタルクリニック
ピックアップ症例
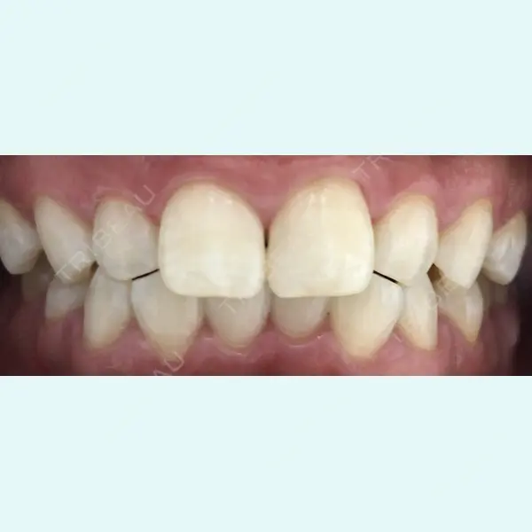
すべて見るホワイトニングモニター
20代女性
和氣 香織
施術方法
歯 / ホワイトニング
施術説明
ホワイトニングが初めての患者様でした。
なるべく白く、また色持ちを良くしたいとのことで、オフィスホワイトニングとホームホワイトニングがセットになったモニターメニューでご施術させていただきました。
2週間でかなり白くなられました。
ホワイトニングモニター
30代男性
和氣 香織
施術方法
歯 / ホワイトニング
施術説明
ホワイトニングが初めての方で、ご紹介で来院されました。
はじめはオフィスホワイトニングのみのご希望だったのですが、せっかくならもっと白くしたいとのことで、オフィスホワイトニングとホームホワイトニングがセットになったモニターコースにされました。
通院2回、2週間でかなり白くなりました。
基本情報
- 住所
- 東京都渋谷区神宮前4-19-8 アロープラザ原宿122
- アクセス
- 東京メトロ表参道駅A2出口より徒歩4分、JR原宿駅より徒歩10分
- 休診日
- 不定休
- 営業時間
- 10:00〜19:00
- 公式HP・SNS
診療科目
- 美容整形
- 糸・埋没切開脂肪吸引・注入骨切り痩身機器婦人科
- 美容皮膚科
- 美肌治療再生治療アートメイク脱毛導入ピーリング美容機器
- 審美歯科
- 歯科矯正セラミックホワイトニング
- 注射・注入
- 注射・注入
施設情報
個室待合室女性限定当日予約可完全予約制駅から徒歩5分以内
表参道ホワイトデンタルクリニックに関するよくある質問
- このクリニックの場所は?
- 東京都渋谷区神宮前4-19-8 アロープラザ原宿122
- このクリニックへの行き方は?
- 東京メトロ表参道駅A2出口より徒歩4分、JR原宿駅より徒歩10分
- このクリニックの営業時間は?
- 10:00〜19:00
/uploads/case_report_image/file/17825/4af93fcc-615e-4f35-9c47-316636bc3f16.jpg)
/uploads/case_report_image/file/17826/77879ab6-83f5-4b99-9318-11e95c98a775.jpg)
/uploads/case_report_image/file/15811/cf209901-8176-480b-9cc4-f97645b9f944.jpg)
/uploads/case_report_image/file/15812/432fdf57-6e3a-4044-96c7-cfd22c1a6b5b.jpg)
/uploads/case_report_image/file/15808/bebd8b2c-c7f0-4765-b726-f70f383a177b.jpg)
/uploads/case_report_image/file/15809/7aa3244f-3d2c-4460-9466-d83022b6b74b.jpg)
/uploads/diary_article_image/file/538006/67b13f2e-0bba-4042-ac6a-1ad1a3f36006.jpg)
/uploads/diary_image/file/99069/a872f9da-a8cc-434b-b0a5-4ad0841f9fae.jpg)
/uploads/diary_article_image/file/928824/c8c9d8cb-0dad-4575-a043-de30f3af5901.jpg)
/uploads/diary_image/file/185850/687489fa-fdfc-4501-99ae-6ff29238332b.jpg)
/uploads/diary_article_image/file/306136/633dba88-1a2b-4d32-a577-e3763b28897a.jpg)
/uploads/diary_image/file/53666/fd713f34-c38d-4201-b679-0dbd18e041ba.jpg)
/uploads/diary_article_image/file/306333/ad8ece9c-41af-4d9c-826d-da4e08963cd9.jpg)
/uploads/diary_image/file/53720/61ba09ac-de6e-496a-83d4-1ca514e7d863.jpg)
![トリビュー [TRIBEAU] インストール](/_next/image?url=%2Ffrontend%2Fimg%2Fbanner%2Ffooter_mobile.png&w=1920&q=75)