- R.O.clinicの口コミ一覧
- ㅎさんの施術の口コミ
クリニックまたは書類提出にて施術の実施を確認済
1
/
47
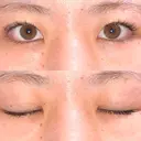
BEFORE
BEFORE
AFTER
AFTER
DAY 558
DAY 558
DAY 391
DAY 391
DAY 386
DAY 386
DAY 382
DAY 382
DAY 381
DAY 381
DAY 189
DAY 189
DAY 98
DAY 98
R.O.clinicの二重埋没の術後経過|ユーザー名:IKONIC_june_yg
1件の口コミ・47枚の写真
総合満足度
ドクター、クリニックの対応
価格満足度
仕上がり・効果
ドクター・クリニックの対応
呂 秀彦 R.O.clinic
【ドクター、スタッフの対応】
あまり喋らないとか無愛想な感じは無いです。たしかにお喋りではないですが、丁寧にゆっくり対応して頂けて良かったです。
【このクリニックを選んだ理由】
専門医が在籍している
モニター募集がある
トリビューで評価が高い
評判が良かった。大手は嫌で、大手から独立した先生を探していた。
【ドクターを選んだ理由】
口コミで評判が良い
評判がよく、独立したと聞きお願いしようと思った。
仕上がり・効果
二重埋没
【このメニューに決めた理由】
元が一重なので、取れにくい方にしました。
【施術の流れや痛み】
※クリニック到着後、お会計と洗顔
①最初に点眼麻酔と瞼に麻酔クリームを塗布
②数分目を瞑り麻酔を浸透させる
3瞼の表裏に麻酔を注射
両目少しチクッとしましたが、痛みには入らないくらいです。
③デザイン確認
カウセの時と若干変えようと思い、写真を持っていきました。無愛想な感じはなく丁寧に対応してもらいました。これでも自然じゃない?、とか幅について親身に考えてくれます。
口で言うより写真あった方が先生も分かりやすかった?ようで色々提案して頂きました。写真あると分かりやすいかもです。
④施術
縫う感じと引っ張られてる感じがしました。
両目とも少しチクーッとする部分がありました。
痛みがあればすぐ教えてください、と言ってくださるので耐えられない場合すぐ言った方がいいと思います。
私の場合、反応を見て痛みを聞いてくれて痛かった時言ってくれたらすぐ麻酔追加しますよ、とのことでした、!
⑤鏡で仕上がり確認
ここは、腫れが引いたらこうなります、みたいなちょっと説明してくれました。
⑥お冷やし
⑦薬をもらって終了
経過
Loading
コメント
ドクター・クリニック
担当したドクター
施術を受けたクリニック
表参道駅
|
表参道駅3分 明治神宮前駅8分 原宿駅10分 渋谷駅10分
R.O.clinic
東京都渋谷区神宮前5-46-7 GEMS AOYAMA CROSS 2F
口コミ509件
症例302件
初回予約は10%ポイント還元対象
関連するクチコミ
すべて見る
1126
12
/uploads/diary_article_image/file/80650/7a98aef4-7566-41ce-9b74-c451b6afb572.jpg)
/uploads/diary_image/file/9078/17bc6958-f4cc-4e7c-8c0a-49e95f551e9f.jpg)
/uploads/diary_article_image/file/613892/30b29758-2ad3-47a1-9a30-3987c0c2fdc9.jpg)
/uploads/diary_image/file/55717/4359dde3-f1b0-443e-b437-aa5638b587a6.jpg)
/uploads/diary_article_image/file/94078/995ead85-2566-4f7a-8348-5be2af9e66bf.jpg)
/uploads/diary_image/file/1584/4737ec00-0342-4b1b-861a-1e924fc367b5.png)
/uploads/diary_article_image/file/14375/368c1e19-2002-4ed2-81a8-d1f5518b32b1.jpg)
/uploads/diary_image/file/3005/be90354c-0ffe-4d37-b12d-fddc5d5fa6a4.jpg)
/uploads/diary_article_image/file/858030/fc9c1d9a-da61-4dab-ba57-da17e3e7e835.jpg)
/uploads/diary_image/file/6901/f66f80d5-3817-4798-961c-cd580ba3a741.jpg)
/uploads/diary_article_image/file/24139/f61bcca0-1639-4979-8cdf-4d87bd643861.jpg)
/uploads/diary_image/file/3400/73e012c5-7a81-447b-af4a-3050b1acaae1.jpg)
/uploads/diary_article_image/file/223798/5c5fb747-6f42-492f-97ca-91e9d5f1aa4b.jpg)
/uploads/diary_image/file/36248/8b09e815-1ae7-4c3a-ad3a-9466539a351b.jpg)
/uploads/diary_article_image/file/43757/61ad6b42-8113-4653-8346-d189f9f570ef.jpg)
/uploads/diary_image/file/3414/4bcdda9e-548b-4442-a97c-b55f48f3a384.jpg)
/uploads/diary_article_image/file/549516/a3a88afa-a1a7-4268-8868-d3537795a654.jpg)
/uploads/diary_image/file/96461/fa215cec-7a1d-4488-a784-02b7eaca9be8.jpg)
/uploads/diary_article_image/file/332888/d9a64f31-d130-4e91-94cd-f09a739ab87f.jpg)
/uploads/diary_image/file/58181/09bc03ff-32ed-4506-bbb4-b43c38db2ae7.jpg)
![トリビュー [TRIBEAU] インストール](/_next/image?url=%2Ffrontend%2Fimg%2Fbanner%2Ffooter_mobile.png&w=3840&q=75)
