- 銀座本院 歯と美容のクリニックの口コミ一覧
- yighさんの施術の口コミ
クリニックまたは書類提出にて施術の実施を確認済
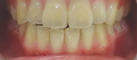
BEFORE
BEFORE
銀座本院 歯と美容のクリニックのその他(口元)の術後経過|ユーザー名:yigh17655023
この投稿はまだダウンタイム中です。回復期間のため腫れや痛みなどがおさまっていない場合があります。
ダウンタイムとは
15件の口コミ・59枚の写真
総合満足度
ドクター、クリニックの対応
価格満足度
仕上がり・効果
ドクター・クリニックの対応
銀座本院 歯と美容のクリニック
【このクリニックを選んだ理由】
施術費用が安い
【改善したかった悩み・施術のこだわり】
歯の黄ばみを取りたく、ホワイトニングをお願いした
ドクター・クリニック
施術を受けたクリニック
「有楽町駅」から徒歩1分
|
「有楽町駅」から徒歩1分、「銀座一丁目駅」1分、「東京駅」7分
銀座本院 歯と美容のクリニック
東京都中央区銀座1-5-1-703
口コミ1151件
症例0件
初回予約は10%ポイント還元対象
関連するクチコミ
すべて見る
/uploads/diary_article_image/file/34761/0b8da4d7-657a-40d7-8896-62590eec1966.jpg)
/uploads/diary_image/file/6597/389df44f-7dd4-4640-b603-0b268ee8dfb3.jpg)
/uploads/diary_article_image/file/430362/5dc30832-d14e-463a-9504-ba6472b5a47c.jpg)
/uploads/diary_image/file/24811/72537f53-4355-4a5c-88f1-66243ce87c48.jpg)
/uploads/diary_article_image/file/16441/ec22aa08-0818-4db1-b43c-3be834766474.jpg)
/uploads/diary_image/file/3591/60c1f805-35f3-404e-9db7-27e4d85bab74.jpg)
/uploads/diary_article_image/file/270903/42796477-9564-42ef-a03a-a4c87ee4b7c2.jpg)
/uploads/diary_image/file/31349/c21a5a5c-9c1e-4645-9423-e8ace75bac7d.jpg)
/uploads/diary_article_image/file/109617/a133fd9a-f65d-4526-add5-a761d8f6ab78.jpg)
/uploads/diary_image/file/16588/d6db0f0b-eb7d-4bb8-a03d-6ea3ae57439c.jpg)
/uploads/diary_article_image/file/172031/82006794-5d50-478d-8869-f84fde0a388f.jpg)
/uploads/diary_image/file/16324/c27e3f45-2d7d-47b1-81b2-f2edb6b0bc4b.jpg)
/uploads/diary_article_image/file/89600/ae20ff69-49b3-4d92-b2be-4444dede2c51.jpg)
/uploads/diary_image/file/15247/97c338b2-3dd0-4331-a215-0172a2ed0ba2.jpg)
/uploads/diary_article_image/file/508406/6f790ea7-c7e2-4ba5-817d-b81368222638.jpg)
/uploads/diary_image/file/72619/a16eb280-1f74-43ba-b5f0-54120d5d535b.jpg)
/uploads/diary_article_image/file/546128/e2462994-b433-4b00-80b1-8103d2041e41.jpg)
/uploads/diary_image/file/15532/76bece26-71f5-475a-84f9-4e5c6c021848.jpg)
/uploads/diary_article_image/file/6315/b932787d-1f71-439c-918d-bf54d3e18fe0.png)
/uploads/diary_image/file/1865/881803f7-a64a-4f3c-a994-ecb408f1a8fa.png)
![トリビュー [TRIBEAU] インストール](/_next/image?url=%2Ffrontend%2Fimg%2Fbanner%2Ffooter_mobile.png&w=3840&q=75)
