- 椿クリニック 心斎橋院の症例一覧
- インビザラインGoの施術の症例
大阪府大阪市中央区南船場4丁目4-10 辰野心斎橋ビル11F
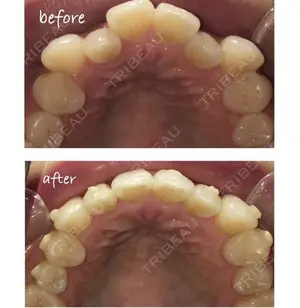
インビザラインGo椿クリニック 心斎橋院 / 30代女性
BEFORE
AFTER
BEFORE施術の内容
- 施術の説明
- インビザラインGoの症例です。 当院は、インビザラインGoシステムを使ったマウスピース矯正治療をおこなっております。 インビザラインGoシステムとはアライナーと呼ばれる透明なマウスピースを装着して前歯部の歯科矯正治療です。 最新のIT技術で治療シュミレーションがすぐにでき、カウンセリング当日に矯正ができるかどうか適切な判断ができるのが特徴です。 ワイヤー矯正のように高額な治療費と長期間の装着や痛み・不快感などはありません。
- 費用
- 327,800円〜
- 副作用・リスク
- 痛み・後戻り
このクリニックの特別メニュー
もっと見るLoading
/uploads/case_report_image/file/82566/d9c6f3d6-e647-4a2a-8561-84a356854282.jpg)
![トリビュー [TRIBEAU] インストール](/_next/image?url=%2Ffrontend%2Fimg%2Fbanner%2Ffooter_mobile.png&w=3840&q=75)