- 宇田川歯科医院のメニュー一覧
- お試しオフィスホワイトニング|前歯上下12本(2回照射)|憧れの白い歯に
初回・再来OK
モニター
お試しオフィスホワイトニング|前歯上下12本(2回照射)|憧れの白い歯に
¥9,800税込通常価格:¥39,600
Loading
※初診料無料 ※トリビュー特別価格
対象クリニック:宇田川歯科医院
リスク・副作用
痛み白斑知覚過敏
※この他にも予期しない症状が現れる可能性があるので、術後異常を感じた際には速やかにご相談ください。
モニターの注意事項
・施術前と施術後に一定回数の写真撮影が可能な方のみとさせていただきます。 ・施術の経過投稿(アプリ上)にご協力いただける方のみとさせていただきます。 ・施術後も一定回数クリニックに通院いただける方のみとさせていただきます。
施術を受けることができない方
・妊娠中、授乳中、妊娠の可能性のある方 ・歯周病や虫歯、歯に大きな亀裂がある方 ・重大な疾患の診断を受けている方 ※未成年(18歳未満)の方は、保護者の同伴または同意書が必要
注意事項
・自由診療のため公的医療保険適用不可 ・年齢確認のため保険証持参の必要あり ・効果・仕上がり・ダウンタイムなどには個人差あり ・施術当日はコーヒーや赤ワインなど、色の濃い飲食物は控える ・施術者の指名不可
使用する機器・薬剤について
・日本国内において、医薬品医療機器等法上の承認は取得していません。 ・医師等が個人輸入により入手したものです。未承認医療機器については「個人輸入において注意すべき医薬品等について」もご参照ください。 ・同一の成分や性能を有する他の国内承認医薬品等はありません。 ・重大なリスクなどが明らかになっていない可能性があります。
施術の詳しい情報
クリニックの口コミ
Loading
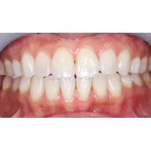
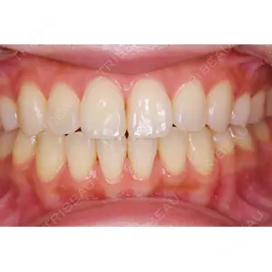
この施術の参考症例
/uploads/case_report_image/file/54525/bf304dd5-a883-4d3b-a96f-7ba3d6a1740f.jpg)
/uploads/case_report_image/file/54524/a7278ed3-2790-46d5-97dc-5d074e806ca4.jpg)
![トリビュー [TRIBEAU] インストール](/_next/image?url=%2Ffrontend%2Fimg%2Fbanner%2Ffooter_mobile.png&w=1920&q=75)