- ピュアリオ歯科・矯正歯科 田町三田院のメニュー一覧
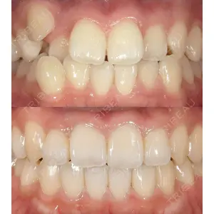
- 【症例5,000件以上】非抜歯🦷3ヶ月からできるマウスピース矯正(インビザライン 5枚)気になる歯並びに🦷
初回のみ
モニター
【症例5,000件以上】非抜歯🦷3ヶ月からできるマウスピース矯正(インビザライン 5枚)気になる歯並びに🦷
¥165,000税込通常価格:¥220,000
Loading
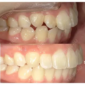
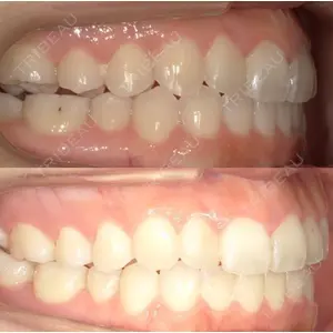
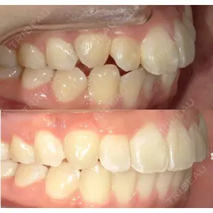
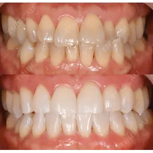
・カウンセリング料 無料 ・オプション:CT検査(推奨) 別途 35,000円 ※症例期間:2013年3月〜2025年12月
対象クリニック:ピュアリオ歯科・矯正歯科 銀座有楽町院、田町三田院
リスク・副作用
痛み後戻り
※この他にも予期しない症状が現れる可能性があるので、術後異常を感じた際には速やかにご相談ください。
モニターの注意事項
・施術前と施術後に一定回数の写真撮影が可能な方のみとさせていただきます。 ・施術後も一定回数クリニックに通院いただける方のみとさせていただきます。
施術を受けることができない方
※未成年(18歳未満)の方は、保護者の同伴または同意書が必要
注意事項
・自由診療のため公的医療保険適用不可 ・施術者の指名不可 ・年齢確認のため保険証持参の必要あり ・効果・仕上がりなどには個人差あり ・症状の程度によって治療期間は異なる ・症例写真は一例です。同様の金額や仕上がり等をお約束するものではございません。
使用する機器・薬剤について
・日本国内において、医薬品医療機器等法上の承認は取得していません。 ・医師等が個人輸入により入手したものです。未承認医療機器については「個人輸入において注意すべき医薬品等について」もご参照ください。 ・同一の成分や性能を有する他の国内承認医薬品等はありません。 ・米国FDA承認、欧州CEマークを取得しています。
施術の詳しい情報
クリニックの口コミ
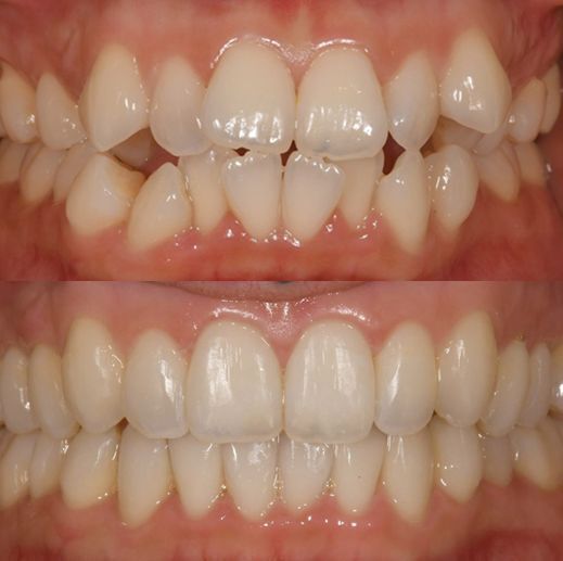
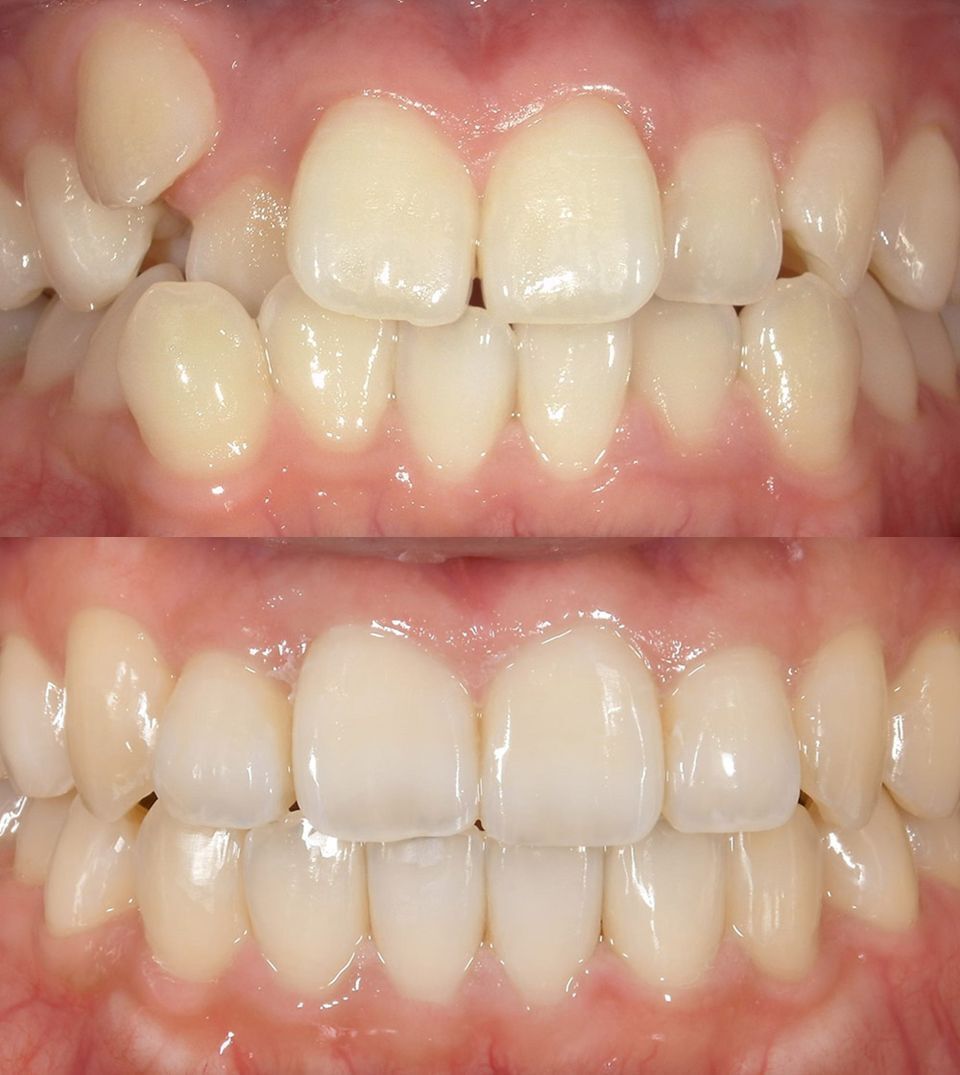
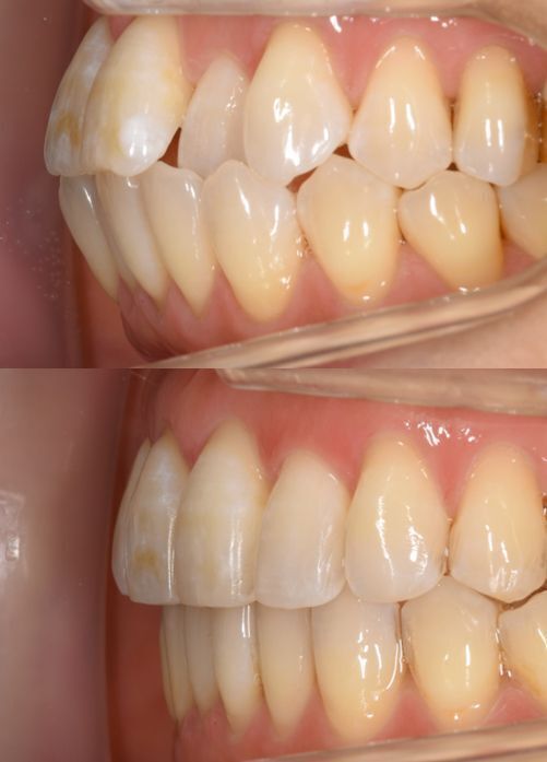
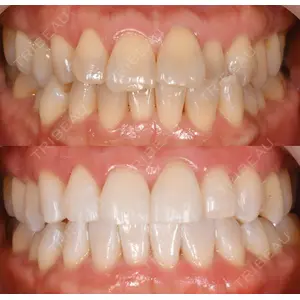
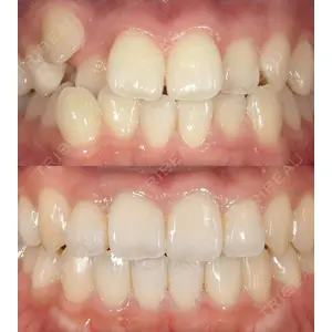
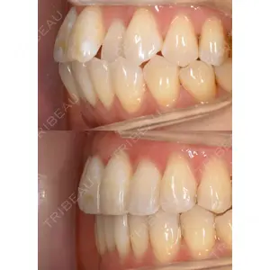
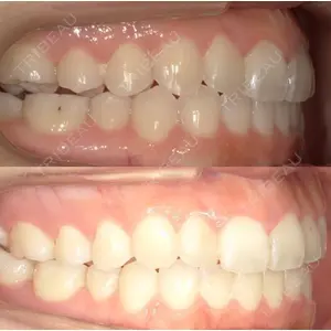
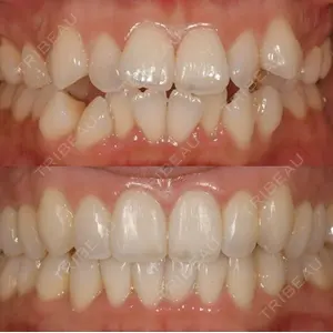
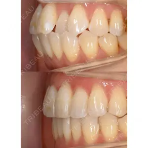
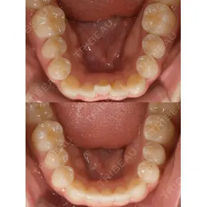
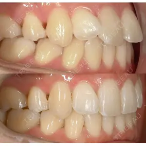
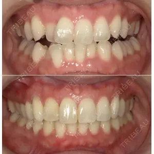
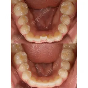
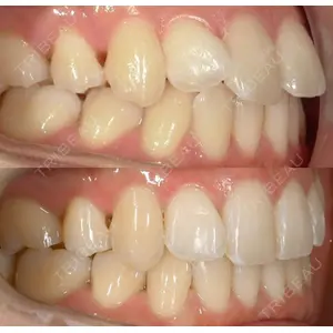
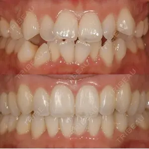
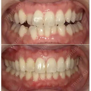
この施術の参考症例













/uploads/case_report_image/file/270454/0f691dc3-08f6-479b-930a-8018d43aa350.jpg)
/uploads/case_report_image/file/270453/c10fb654-2c00-4f32-8d8d-e6642c5de5fc.jpg)
/uploads/case_report_image/file/222729/895fa2ff-0543-4625-8b06-e4822a6bec58.jpg)
/uploads/case_report_image/file/222728/312bca0f-ae2d-4ea4-9e05-6d938c8ba183.jpg)
/uploads/case_report_image/file/263286/aa08ce4b-53f0-4342-8064-9f770b0b4bd5.jpg)
/uploads/case_report_image/file/263285/62ae7f35-7d68-4a28-bdd1-efe3a4f183d2.jpg)
/uploads/case_report_image/file/263284/cdbac63c-aa48-42a0-b74b-cb277bd706f3.jpg)
/uploads/case_report_image/file/263283/79d6e9f5-6f1b-496a-8cd5-c845698e1a4e.jpg)
/uploads/case_report_image/file/263282/a3efdc77-0b76-46bc-a417-138b3154a520.jpg)
/uploads/case_report_image/file/263281/2933e158-b6ff-4716-81f5-0c042428cbb8.jpg)
/uploads/case_report_image/file/263280/99ba78a4-a940-412e-98c7-353a5357c14d.jpg)
/uploads/case_report_image/file/263279/a543f898-405c-4434-b06d-7cc2dd7b9531.jpg)
/uploads/case_report_image/file/263278/add3a4fa-d57d-45b0-9195-33268fbc3b6a.jpg)
/uploads/case_report_image/file/263277/1f7ae46a-78c5-47d1-8958-6ed4c4eb2f15.jpg)
/uploads/case_report_image/file/263274/d9739e71-d4cc-4043-8bfc-6e43c88e3466.jpg)
/uploads/case_report_image/file/263273/79139f63-e01a-45e7-aee2-72c9a3dd7ba3.jpg)
/uploads/case_report_image/file/245805/a098a999-fbcc-42ce-93d9-2d79a27fd960.jpg)
/uploads/case_report_image/file/245804/7742906d-4cbf-4811-915b-2e3bbfc3e831.jpg)
/uploads/case_report_image/file/245803/09696e01-1329-427c-b055-05a6683a0f11.jpg)
/uploads/case_report_image/file/245802/3f4c9ee1-de1b-497b-90f7-7f10b3e58a41.jpg)
/uploads/case_report_image/file/245801/d637112e-551e-4c86-9339-9a6a5d1591c5.jpg)
/uploads/case_report_image/file/245800/533f69fd-bc29-4daf-9857-7ced15d348f4.jpg)
/uploads/case_report_image/file/223121/1b325802-dc17-4ad1-a31f-ed668200a7c7.jpg)
/uploads/case_report_image/file/223120/8d5b637a-26fa-4b5f-863a-f594abfe515f.jpg)
/uploads/case_report_image/file/222725/a9e603a8-9ab6-406b-a1dd-5bde0bb8e011.jpg)
/uploads/case_report_image/file/222724/605056e3-5764-45fb-a0ca-051f3282e005.jpg)
/uploads/case_report_image/file/222722/b339a2f1-d79f-4ded-b368-4d72c0438e9d.jpg)
/uploads/case_report_image/file/222720/4c060b39-0ff9-4230-97f5-8b23cebbe7de.jpg)
/uploads/case_report_image/file/222719/fa95e1be-f6e0-4213-9dde-e8594ca97af6.jpg)
/uploads/case_report_image/file/222718/eef5a68f-11fd-47b9-84c4-d3009b48d3dd.jpg)
![トリビュー [TRIBEAU] インストール](/_next/image?url=%2Ffrontend%2Fimg%2Fbanner%2Ffooter_mobile.png&w=1920&q=75)