- オーラルプロポーションクリニックの口コミ一覧
- たなみさんの施術の口コミ
1
/
2
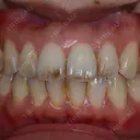
BEFORE
BEFORE
AFTER
AFTER
オーラルプロポーションクリニックのホワイトニングの術後経過|ユーザー名:tanami
1件の口コミ・2枚の写真
総合満足度
ドクター、クリニックの対応
価格満足度
仕上がり・効果
ドクター・クリニックの対応
井上勇人 オーラルプロポーションクリニック
【ドクター、スタッフの対応】
歯科衛生士さんに対応してもらいました。
着色がかなり付いていたのでそれを落とすコースも説明してくれました
何回照射か迷っていたのですがセルフホワイトニングであまり白くならなかったと言ったところ自分に合う機械や回数を詳しく説明してくれました
【このクリニックを選んだ理由】
ネットでホワイトニングを調べていてよさそうだったので決めました
着色もあったのでそれも落としてもらいたかったため
仕上がり・効果
ホワイトニング
【このメニューに決めた理由】
1回で白くなりやすく来院回数も少なく済むため。
【施術の流れや痛み】
時間通りにご案内してもらいスムーズに施術に入れました
痛みに弱いか聞かれて術前に痛み止めを飲ませてもらいました
術中は痛みは無く照射中に寝られました
その他
着色は1回で全て落としてもらえました
ホワイトニングでさらに白くなりましたが元々の黄ばみが強かったので2回目の予約をしました
施術後の説明も分かりやすく、受付でも待ち時間が少なくスムーズに予約を取り終わることができました
経過
Loading
ドクター・クリニック
担当したドクター
施術を受けたクリニック
JR渋谷駅/東京メトロ渋谷駅
|
JR渋谷駅徒歩4分/東京メトロ渋谷駅B1番出口徒歩1分
オーラルプロポーションクリニック
東京都渋谷区渋谷1-23-18 ワールドイーストビル8F
口コミ1件
症例0件
初回予約は10%ポイント還元対象
関連するクチコミ
すべて見る
/uploads/diary_article_image/file/217895/44b276d2-e47b-4bc3-96aa-8427a414f642.jpg)
/uploads/diary_image/file/36612/2a47ac15-5972-4fd8-a3a0-cb8f19c3b4bf.jpg)
/uploads/diary_article_image/file/341622/421824aa-891a-43d3-8f7a-2dcd6f15b982.jpg)
/uploads/diary_image/file/59706/363b41a3-d40a-486b-b573-2128568d13c6.jpg)
/uploads/diary_article_image/file/335476/9343d2e4-3c02-4b96-8aa5-45e5bcabb9e7.jpg)
/uploads/diary_image/file/58591/c8dfd598-b653-4dea-8b3a-29b4a90130d7.jpg)
/uploads/diary_article_image/file/306136/633dba88-1a2b-4d32-a577-e3763b28897a.jpg)
/uploads/diary_image/file/53666/fd713f34-c38d-4201-b679-0dbd18e041ba.jpg)
/uploads/diary_article_image/file/199916/2a42cd02-fb77-4220-ad71-ff171b97c84d.jpg)
/uploads/diary_image/file/33378/ac5421e5-ec15-42df-b906-e15bb774acac.jpg)
/uploads/diary_article_image/file/221364/83b7fbc3-9124-4df1-bd25-b42efa7fcf5b.jpg)
/uploads/diary_image/file/37084/7686120d-a3ce-4e18-987b-013226face5b.jpg)
/uploads/diary_article_image/file/290276/e26df9f6-6444-48b6-83c8-afc53e642262.jpg)
/uploads/diary_image/file/50533/b59c24c4-ed45-447a-be7f-8ee9c1839c02.jpg)
/uploads/diary_article_image/file/874270/7517357f-39f8-47be-a404-6db5fd9de3b0.jpg)
/uploads/diary_image/file/172034/351df291-6eed-48f0-9c27-d21078e92866.jpg)
/uploads/diary_article_image/file/795265/9cb46709-5cdb-4790-a5e4-103b842da54e.jpg)
/uploads/diary_image/file/152442/e41355fa-3342-46c7-b28a-16a77de2801c.jpg)
/uploads/diary_article_image/file/312522/cdaa897a-f50d-4b3a-874b-4f90dbb59520.jpg)
/uploads/diary_image/file/54804/8a761a52-8d25-4509-b9ac-55560cd97f29.jpg)
![トリビュー [TRIBEAU] インストール](/_next/image?url=%2Ffrontend%2Fimg%2Fbanner%2Ffooter_mobile.png&w=3840&q=75)
