- ピュアリオ歯科・矯正歯科 田町三田院の症例一覧
- 【インビザライン】マウスピース矯正の施術の症例
東京都港区芝5-14-14 ビジデンス三慶301
即時予約可◎ 今すぐ予約できます
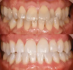
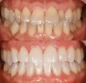
【インビザライン】マウスピース矯正ピュアリオ歯科・矯正歯科 田町三田院 / 20代女性
BEFORE
AFTER
BEFORE施術の内容
- 施術の説明
- 主訴:がたがた(叢生) 治療期間:1年
- 費用
- 770,000円
- 副作用・リスク
- 矯正装置の使用について歯科医からの指示や、治療に要する1日あたりの装着時間を患者が守らない場合・指示通りに使用しなかった場合・歯科医とのアポイントメントを患者が守らない場合には、通常より治療期間を長期化させ、また治療計画通りの結果が得られないことがあります。 ・治療期間を大まかに説明はしていますが、さまざまな点から治療期間は前後する場合があります。・矯正装置を装着した後に、歯の痛みを経験する場合があります。・歯肉、頬及び唇に、矯正装置により擦り傷、口内炎、痛みが生じる場合があります。・患者が適切な口腔衛生および歯科疾患予防上の管理を怠った場合には、むし歯、歯周病、歯肉炎もしくは脱灰等が生じる場合があります。・装置装着により、発音、嚥下、咀嚼など生活習慣に影響がある場合がありますが、通常経過と共に軽減されます。・矯正治療によりまれに歯根が吸収(短くなること)する場合があり、歯の寿命に影響がでる場合があります。・歯の大きさのバランスの改善、歯の移動を可能とする空隙を作り出すため、保定をより強固に持続するために歯を削合する必要がある場合があります。・矯正装置を歯牙から撤去する際に歯面にクラック(歯牙のヒビ割れ)が生じる場合があります。・矯正治療で歯牙を移動した場合、歯と歯の間に隙間(ブラックトライアングル)を生じる場合があります。・治療完了後、歯の位置移動(後戻り)が生じる場合があります。
このクリニックの特別メニュー
もっと見るLoading
この施術の担当ドクターについて
湊 寛明
院長
7
件の口コミ
院長
受けたい施術が専門・得意
口コミで評判が良い
症例数が多い
カウンセリングが良い
私立 広島学院高等学校卒業
国立 九州大学歯学部卒業・歯学学位取得
九州大学病院研修医 終了
埼玉県 オレンジ歯科クリニック
栃木県 丹野歯科医院
山口県 みなと歯科医院 副院長
大手矯正歯科グループ 院長
ピュアリオ歯科・矯正歯科 田町三田院 設立
医療法人社団ピュアスマイル設立、理事長就任
/uploads/case_report_image/file/263278/add3a4fa-d57d-45b0-9195-33268fbc3b6a.jpg)
![トリビュー [TRIBEAU] インストール](/_next/image?url=%2Ffrontend%2Fimg%2Fbanner%2Ffooter_mobile.png&w=1920&q=75)