- 東京美容外科 赤坂院の口コミ一覧
- すうれろさんの施術の口コミ
1
/
2
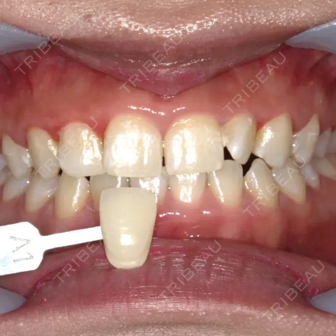
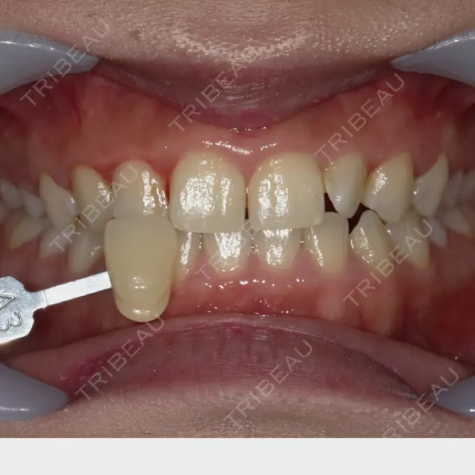
BEFORE
BEFORE
AFTER
AFTER
東京美容外科 赤坂院のホワイトニングの術後経過|ユーザー名:12mero25
1件の口コミ・3枚の写真
総合満足度
ドクター、クリニックの対応
価格満足度
仕上がり・効果
ドクター・クリニックの対応
林 伸至 東京美容外科 赤坂院
【ドクター、スタッフの対応】
とても優しく、丁寧でした。説明もホワイトニングをするにあたっての意味や過ごし方まで詳しく説明してくださいました。
【このクリニックを選んだ理由】
専門医が在籍している
ホワイトニングにとても詳しい医師だったためです。
仕上がり・効果
ホワイトニング
【このメニューに決めた理由】
歯が白くなりたいと思ってましたがまずなにをしたらいいのか、専門医に歯の状態をみてもらった上で、即効性を感じてみたかった。
【施術の流れや痛み】
カウンセリングをしっかり受けてから、どんな意味があるのかまで丁寧に教えてくれました。歯石の除去、表面の汚れの研磨、ホワイトニングという流れで痛みはなかったです。歯石まで除去してくれたのが嬉しかった。
その他
とてもゆったりできる空間で丁寧な施術なのでおすすめです。優しいです。
経過
Loading
ドクター・クリニック
担当したドクター
施術を受けたクリニック
赤坂駅、溜池山王駅、赤坂見附駅
|
赤坂駅徒歩3分、溜池山王駅徒歩7分、赤坂見附駅徒歩10分
東京美容外科 赤坂院
口コミ24件
症例10件
初回予約は10%ポイント還元対象
関連するクチコミ
すべて見る
/uploads/diary_article_image/file/217895/44b276d2-e47b-4bc3-96aa-8427a414f642.jpg)
/uploads/diary_image/file/36612/2a47ac15-5972-4fd8-a3a0-cb8f19c3b4bf.jpg)
/uploads/diary_article_image/file/341622/421824aa-891a-43d3-8f7a-2dcd6f15b982.jpg)
/uploads/diary_image/file/59706/363b41a3-d40a-486b-b573-2128568d13c6.jpg)
/uploads/diary_article_image/file/335476/9343d2e4-3c02-4b96-8aa5-45e5bcabb9e7.jpg)
/uploads/diary_image/file/58591/c8dfd598-b653-4dea-8b3a-29b4a90130d7.jpg)
/uploads/diary_article_image/file/306136/633dba88-1a2b-4d32-a577-e3763b28897a.jpg)
/uploads/diary_image/file/53666/fd713f34-c38d-4201-b679-0dbd18e041ba.jpg)
/uploads/diary_article_image/file/221364/83b7fbc3-9124-4df1-bd25-b42efa7fcf5b.jpg)
/uploads/diary_image/file/37084/7686120d-a3ce-4e18-987b-013226face5b.jpg)
/uploads/diary_article_image/file/317649/6e6f16f7-09d4-4219-af19-8a6c8edf6ea9.jpg)
/uploads/diary_image/file/55815/eca39884-929a-41fa-839f-1b4539abf895.jpg)
/uploads/diary_article_image/file/290276/e26df9f6-6444-48b6-83c8-afc53e642262.jpg)
/uploads/diary_image/file/50533/b59c24c4-ed45-447a-be7f-8ee9c1839c02.jpg)
/uploads/diary_article_image/file/874270/7517357f-39f8-47be-a404-6db5fd9de3b0.jpg)
/uploads/diary_image/file/172034/351df291-6eed-48f0-9c27-d21078e92866.jpg)
/uploads/diary_article_image/file/795265/9cb46709-5cdb-4790-a5e4-103b842da54e.jpg)
/uploads/diary_image/file/152442/e41355fa-3342-46c7-b28a-16a77de2801c.jpg)
/uploads/diary_article_image/file/312522/cdaa897a-f50d-4b3a-874b-4f90dbb59520.jpg)
/uploads/diary_image/file/54804/8a761a52-8d25-4509-b9ac-55560cd97f29.jpg)
![トリビュー [TRIBEAU] インストール](/_next/image?url=%2Ffrontend%2Fimg%2Fbanner%2Ffooter_mobile.png&w=1920&q=75)
