- 札幌ル・トロワ ビューティクリニックVogueの口コミ一覧
- ★さんの施術の口コミ
クリニックまたは書類提出にて施術の実施を確認済
1
/
10
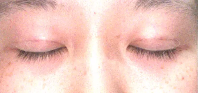
BEFORE
BEFORE
AFTER
AFTER
DAY 3
DAY 3
DAY 3
DAY 3
DAY 2
DAY 2
DAY 2
DAY 2
DAY 1
DAY 1
DAY 1
DAY 1
DAY 0
DAY 0
DAY 0
DAY 0
札幌ル・トロワ ビューティクリニックVogueの二重埋没の術後経過|ユーザー名:sinitai_
この投稿はまだダウンタイム中です。回復期間のため腫れや痛みなどがおさまっていない場合があります。
ダウンタイムとは
1件の口コミ・10枚の写真
総合満足度
ドクター、クリニックの対応
価格満足度
仕上がり・効果
ドクター・クリニックの対応
荻野 航太 札幌ル・トロワ ビューティクリニックVogue
【ドクター、スタッフの対応】
扱いにくいまぶただと私は思っていたのですが、私ができる自然でベストな目の形をしっかり考えてくださいました。施術中も荻野先生と同席していただいた医師?の方と色々お話出来てとても嬉しく、安心できました。
【このクリニックを選んだ理由】
施術費用が安い
立地が良い
アフターケアが充実
クリニックの清潔感がある
ドクターの対応が良い
症例・投稿写真が好み
カウンセラーや看護師の対応が良い
カウンセリングが良い
モニター募集がある
学会所属のドクターが在籍している
【ドクターを選んだ理由】
口コミで評判が良い
最初にカウンセリングを担当していただきました。また、口コミなどの症例も良くて、カウンセリングの際同席していただいた受付?の方にも、荻野先生は自然な仕上がりにしていただけると聞いたのが決め手です。
仕上がり・効果
二重埋没
【このメニューに決めた理由】
とにかく左右差をどうにかしたかったため、埋没でも良いと思った。
【施術の流れや痛み】
施術に関しては、表瞼に3回、裏瞼に1回ずつ麻酔を打たれました。もちろん痛かったんですが、一瞬でしたので耐えれました。なんなら家に帰ってこの口コミを書いてる今のほうが辛いです笑
個人的には笑気麻酔は必要なかったかなって思いました。
その他
受付の方も医師の方も、クリニックに携わる全ての方がとても親切です。強くおすすめできます。
経過
Loading
ドクター・クリニック
担当したドクター
施術を受けたクリニック
大通駅
|
地下鉄東豊線大通駅24番出口直結地下鉄東西線大通駅18番出口より徒歩3分JR札幌駅より徒歩13分中央バスターミナルより徒歩4分
札幌ル・トロワ ビューティクリニックVogue
口コミ62件
症例0件
初回予約は10%ポイント還元対象
関連するクチコミ
すべて見る
1126
12
/uploads/diary_article_image/file/80650/7a98aef4-7566-41ce-9b74-c451b6afb572.jpg)
/uploads/diary_image/file/9078/17bc6958-f4cc-4e7c-8c0a-49e95f551e9f.jpg)
/uploads/diary_article_image/file/613892/30b29758-2ad3-47a1-9a30-3987c0c2fdc9.jpg)
/uploads/diary_image/file/55717/4359dde3-f1b0-443e-b437-aa5638b587a6.jpg)
/uploads/diary_article_image/file/94078/995ead85-2566-4f7a-8348-5be2af9e66bf.jpg)
/uploads/diary_image/file/1584/4737ec00-0342-4b1b-861a-1e924fc367b5.png)
/uploads/diary_article_image/file/14375/368c1e19-2002-4ed2-81a8-d1f5518b32b1.jpg)
/uploads/diary_image/file/3005/be90354c-0ffe-4d37-b12d-fddc5d5fa6a4.jpg)
/uploads/diary_article_image/file/858030/fc9c1d9a-da61-4dab-ba57-da17e3e7e835.jpg)
/uploads/diary_image/file/6901/f66f80d5-3817-4798-961c-cd580ba3a741.jpg)
/uploads/diary_article_image/file/24139/f61bcca0-1639-4979-8cdf-4d87bd643861.jpg)
/uploads/diary_image/file/3400/73e012c5-7a81-447b-af4a-3050b1acaae1.jpg)
/uploads/diary_article_image/file/223798/5c5fb747-6f42-492f-97ca-91e9d5f1aa4b.jpg)
/uploads/diary_image/file/36248/8b09e815-1ae7-4c3a-ad3a-9466539a351b.jpg)
/uploads/diary_article_image/file/43757/61ad6b42-8113-4653-8346-d189f9f570ef.jpg)
/uploads/diary_image/file/3414/4bcdda9e-548b-4442-a97c-b55f48f3a384.jpg)
/uploads/diary_article_image/file/549516/a3a88afa-a1a7-4268-8868-d3537795a654.jpg)
/uploads/diary_image/file/96461/fa215cec-7a1d-4488-a784-02b7eaca9be8.jpg)
/uploads/diary_article_image/file/332888/d9a64f31-d130-4e91-94cd-f09a739ab87f.jpg)
/uploads/diary_image/file/58181/09bc03ff-32ed-4506-bbb4-b43c38db2ae7.jpg)
![トリビュー [TRIBEAU] インストール](/_next/image?url=%2Ffrontend%2Fimg%2Fbanner%2Ffooter_mobile.png&w=1920&q=75)
