- 銀座みゆき通り美容外科 大阪梅田院の口コミ一覧
- trys585さんの施術の口コミ
クリニックまたは書類提出にて施術の実施を確認済
1
/
8
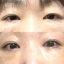
BEFORE
BEFORE
AFTER
AFTER
DAY 62
DAY 62
DAY 32
DAY 32
DAY 14
DAY 14
DAY 7
DAY 7
DAY 3
DAY 3
DAY 3
DAY 3
銀座みゆき通り美容外科 大阪梅田院の脂肪注入(肌)・クマ治療・ボトックス(あご)の術後経過|ユーザー名:poudretteite_b4fd75
1件の口コミ・9枚の写真
総合満足度
ドクター、クリニックの対応
価格満足度
仕上がり・効果
ドクター・クリニックの対応
岩井謙治 銀座みゆき通り美容外科 大阪梅田院
【ドクター、スタッフの対応】
先生の施術はとても手際よく、また時々鏡を持たせて、こんな感じですよと教えて下さいました。
頬コケに対しては、近くで見たり、遠くから見てみたり、バランス見ながら施術して頂けました。
また看護師さんがみなさん優しく、先生の施術を順に教えて下さったり、終わった後は笑顔でお疲れ様でしたと仰って頂いてホッとしました。
カウンセラーの方にゆっくり丁寧にお話して頂いたおかげで、安心して来院できました。
【このクリニックを選んだ理由】
立地が良い
受けたい施術に特化している
クリニックの清潔感がある
ドクターの対応が良い
カウンセラーや看護師の対応が良い
カウンセリングが良い
専門医が在籍している
目の下のふくらみが気になってましたが、なかなかカウンセリングを受ける勇気がなく、ずっとインスタみたりしていました。
とりあえずメールで無料相談出来るとありましたので、気になるところの写真を添付したら、すぐに返信を頂きました。
費用等で心配な点、持病があることも伝えたところ、1度カウンセリングに来られませんか?と早速翌日予約し、先生に気になるところを相談したら、キレイに治りますよと仰って頂きました。
脂肪取るついでに頬のコケもされたら、別々でするよりも体にも負担は1度で済むことも教えて頂きました。
カウンセラーの方に見積もりをもらい、分からない事は色々聞いて、費用も明確に教えてもらい、その日はすぐに帰りました。
無理な勧誘もなく、とてもキレイな院内でしたし、他院と比較すること無く、こちらに決めました。
【ドクターを選んだ理由】
院長
症例数が多い
目の下のふくらみはちゃんと取れること、また凹みすぎたらクマが目立つので脂肪注入必要なこと。
その脂肪を取る時についでに気になる頬コケに注入したら良いかもしれないとアドバイス受けたこと。
無理にこうした方がいいとことはなく、ゆっくり考えて下さいと仰って頂いたことが、印象良かったです。
仕上がり・効果
クマ治療 / 脂肪注入(肌) / ボトックス(あご)
【このメニューに決めた理由】
気になる目の下のふくらみ取るだけにしようと思いましたが、梅干し顎も気になり…頬コケも気になったので。
【施術の流れや痛み】
痛みには我慢できる方なので、局所麻酔のみの施術をしてもらいました。
左太ももから脂肪脱脂→瞼のふくらみを取って、脂肪注入→頬のコケに脂肪を注入→顎ボトックス
局所麻酔はやっぱり痛かったです。
その他
自分が納得いくまで色々質問しやすかった点、居心地の良さ、私はこちらに決めて正解でした。
何より、スタッフの方が皆さん綺麗✨
肌もですが、笑顔も素敵だったのが印象的でした。
経過
Loading
ドクター・クリニック
担当したドクター
施術を受けたクリニック
大阪駅
|
JR「大阪駅」中央南口より地下街(ディアモール)を通って徒歩5分・大阪メトロ「東梅田駅」より地下街(ディアモール)を通って徒歩6分
銀座みゆき通り美容外科 大阪梅田院
大阪府大阪市北区曽根崎新地1-5-18 零北新地 5F
口コミ586件
症例73件
初回予約は10%ポイント還元対象
関連するクチコミ
すべて見る
/uploads/diary_article_image/file/571263/f68792e1-1c2d-4224-b364-4b97d25400ba.jpg)
/uploads/diary_image/file/51042/ef639d20-e419-4466-afd1-2101c25ac7a4.jpg)
/uploads/diary_article_image/file/306406/3133be0c-5e89-4fa2-ad20-c263c70295bb.jpg)
/uploads/diary_image/file/53736/cd83882b-7eef-420e-b123-d3a9e4f0d3dd.jpg)
/uploads/diary_article_image/file/121157/216aa55a-e44c-4259-9908-a2ccb5701aca.jpg)
/uploads/diary_image/file/11156/2c44b1f1-0c61-4903-90fe-5543d59bd325.jpg)
/uploads/diary_article_image/file/142389/bad40a6d-3eb1-4afa-a6ed-a41f959209b1.jpg)
/uploads/diary_image/file/4384/852e740d-d2c9-4321-9d16-0a12602035a3.jpg)
/uploads/diary_article_image/file/312155/a93bbcea-8fa1-432f-9e70-6c1573fe2b05.jpg)
/uploads/diary_image/file/37489/791c1736-fe5f-4ab2-87c7-56585d3014a9.jpg)
/uploads/diary_article_image/file/136212/d8b32745-eeb2-430d-b507-8bb61084d3f4.jpg)
/uploads/diary_image/file/14160/5db34683-310d-49f9-abf8-0dd9a8063309.jpg)
/uploads/diary_article_image/file/552662/73ab0a8f-caa5-486b-835a-bfc6ba87f6dd.jpg)
/uploads/diary_image/file/66519/f3df4f59-44cd-4710-a2e0-401289629e41.jpg)
/uploads/diary_article_image/file/309515/7afb198f-ad37-47f1-9af5-f423b82519c6.jpg)
/uploads/diary_image/file/44189/24aec83b-35b1-4672-92d3-ab4032528779.jpg)
/uploads/diary_article_image/file/917105/cb9178fe-ca37-402b-abfc-809f1e44ed1f.jpg)
/uploads/diary_image/file/122334/dcaae5c6-26b2-42b3-a8a8-c48777fd010c.jpg)
/uploads/diary_article_image/file/244623/282d7b92-aa24-4ac8-9709-697f17708826.jpg)
/uploads/diary_image/file/31801/4cc1682e-ab21-44a9-9f62-504bd2758c38.jpg)
![トリビュー [TRIBEAU] インストール](/_next/image?url=%2Ffrontend%2Fimg%2Fbanner%2Ffooter_mobile.png&w=1920&q=75)
