- 東京美容外科 赤坂院の口コミ一覧
- こももさんの施術の口コミ
1
/
2
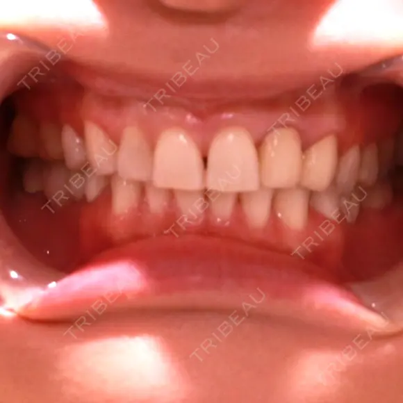
BEFORE
BEFORE
AFTER
AFTER
東京美容外科 赤坂院の矯正(ワイヤー)・セラミックの術後経過|ユーザー名:samsung726
5件の口コミ・13枚の写真
総合満足度
ドクター、クリニックの対応
価格満足度
仕上がり・効果
ドクター・クリニックの対応
林 伸至 東京美容外科 赤坂院
【ドクター、スタッフの対応】
林先生は面白くて、スタッフはみんな親切だった。
【このクリニックを選んだ理由】
友人・知人の薦め
ここで施術をした友人の歯が綺麗だったので決めました。
仕上がり・効果
矯正(ワイヤー) / セラミック
【このメニューに決めた理由】
日本一白くて、透明感のある歯にしたい
【施術の流れや痛み】
仮歯の型取りをしました。
すぐに終わって痛くなかったです。
経過
Loading
ドクター・クリニック
担当したドクター
施術を受けたクリニック
赤坂駅、溜池山王駅、赤坂見附駅
|
赤坂駅徒歩3分、溜池山王駅徒歩7分、赤坂見附駅徒歩10分
東京美容外科 赤坂院
東京都港区赤坂6-6-3
口コミ26件
症例10件
初回予約は10%ポイント還元対象
/uploads/diary_article_image/file/425361/7ed70c16-28cc-4359-b7eb-8e15e501a806.jpg)
/uploads/diary_image/file/54464/555dd614-bae2-457a-9df3-b77a76993481.jpg)
/uploads/diary_article_image/file/444103/b38d5e10-36e7-42f1-994e-1997dc9aea96.jpg)
/uploads/diary_image/file/55218/6e918788-7883-48f3-8353-12a8fade3bd7.jpg)
/uploads/diary_article_image/file/149530/ae178cd7-a8b5-43f6-aa2d-86a10f540a45.jpg)
/uploads/diary_image/file/24797/7a0a9b34-89f1-4bde-b19e-400224d2480b.jpg)
/uploads/diary_article_image/file/145753/ac34945f-03bb-460f-b587-64ce83b0e42c.jpg)
/uploads/diary_image/file/24183/02d4621e-1908-47ef-bc17-e4584e2066fa.jpg)
/uploads/diary_article_image/file/373495/b87c826a-efa1-4d35-9ad1-5d39608de82b.jpg)
/uploads/diary_image/file/64673/10f7c044-bc33-4365-95f7-66142f740185.jpg)
/uploads/diary_article_image/file/226584/5f18828f-e7c3-49be-ac2c-81259ab79385.jpg)
/uploads/diary_image/file/38133/9437181f-b6bd-42cd-ae57-8d80e966e67b.jpg)
/uploads/diary_article_image/file/217895/44b276d2-e47b-4bc3-96aa-8427a414f642.jpg)
/uploads/diary_image/file/36612/2a47ac15-5972-4fd8-a3a0-cb8f19c3b4bf.jpg)
/uploads/diary_article_image/file/266769/6ea26f18-6128-4abf-8888-95c7ccf162f3.jpg)
/uploads/diary_image/file/43037/d4df318b-ebeb-4aef-ba10-f230181af696.jpg)
/uploads/diary_article_image/file/154683/318e0fb5-14cb-428c-a452-882d725c65d9.jpg)
/uploads/diary_image/file/9670/aa9f7312-5d17-41f5-abc1-52d6ff52a9b8.jpg)
/uploads/diary_article_image/file/700247/ae912889-ff70-4de8-b513-c61643dda1bd.jpg)
/uploads/diary_image/file/52946/e91ede5b-146b-41c9-bbde-d28c1ec671a9.jpg)
![トリビュー [TRIBEAU] インストール](/_next/image?url=%2Ffrontend%2Fimg%2Fbanner%2Ffooter_mobile.png&w=3840&q=75)
