- LEAGRANT CLINIC 中目黒の口コミ一覧
- にこさんの施術の口コミ
クリニックまたは書類提出にて施術の実施を確認済
1
/
11
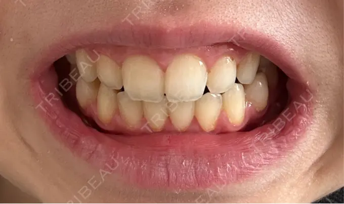
BEFORE
BEFORE
AFTER
AFTER
DAY 56
DAY 56
DAY 31
DAY 31
DAY 19
DAY 19
DAY 14
DAY 14
DAY 9
DAY 9
DAY 5
DAY 5
DAY 4
DAY 4
LEAGRANT CLINIC 中目黒のホワイトニングの術後経過|ユーザー名:beautiful4444
14件の口コミ・196枚の写真
総合満足度
ドクター、クリニックの対応
価格満足度
仕上がり・効果
ドクター・クリニックの対応
谷上 奈緒子 LEAGRANT CLINIC 中目黒
【ドクター、スタッフの対応】
優しい先生で安心できた
【このクリニックを選んだ理由】
施術費用が安い
【ドクターを選んだ理由】
カウンセリングが良い
仕上がり・効果
ホワイトニング
【このメニューに決めた理由】
2回照射でこのお値段は安かった!
【施術の流れや痛み】
全然痛く無かった
経過
Loading
ドクター・クリニック
担当したドクター
施術を受けたクリニック
中目黒駅
|
中目黒駅より徒歩2分
LEAGRANT CLINIC 中目黒
東京都目黒区上目黒3丁目1-4 中目黒グリーンプラザビル7F
口コミ1043件
症例94件
初回予約は10%ポイント還元対象
関連するクチコミ
すべて見る
/uploads/diary_article_image/file/217895/44b276d2-e47b-4bc3-96aa-8427a414f642.jpg)
/uploads/diary_image/file/36612/2a47ac15-5972-4fd8-a3a0-cb8f19c3b4bf.jpg)
/uploads/diary_article_image/file/341622/421824aa-891a-43d3-8f7a-2dcd6f15b982.jpg)
/uploads/diary_image/file/59706/363b41a3-d40a-486b-b573-2128568d13c6.jpg)
/uploads/diary_article_image/file/335476/9343d2e4-3c02-4b96-8aa5-45e5bcabb9e7.jpg)
/uploads/diary_image/file/58591/c8dfd598-b653-4dea-8b3a-29b4a90130d7.jpg)
/uploads/diary_article_image/file/306136/633dba88-1a2b-4d32-a577-e3763b28897a.jpg)
/uploads/diary_image/file/53666/fd713f34-c38d-4201-b679-0dbd18e041ba.jpg)
/uploads/diary_article_image/file/199916/2a42cd02-fb77-4220-ad71-ff171b97c84d.jpg)
/uploads/diary_image/file/33378/ac5421e5-ec15-42df-b906-e15bb774acac.jpg)
/uploads/diary_article_image/file/221364/83b7fbc3-9124-4df1-bd25-b42efa7fcf5b.jpg)
/uploads/diary_image/file/37084/7686120d-a3ce-4e18-987b-013226face5b.jpg)
/uploads/diary_article_image/file/317649/6e6f16f7-09d4-4219-af19-8a6c8edf6ea9.jpg)
/uploads/diary_image/file/55815/eca39884-929a-41fa-839f-1b4539abf895.jpg)
/uploads/diary_article_image/file/290276/e26df9f6-6444-48b6-83c8-afc53e642262.jpg)
/uploads/diary_image/file/50533/b59c24c4-ed45-447a-be7f-8ee9c1839c02.jpg)
/uploads/diary_article_image/file/874270/7517357f-39f8-47be-a404-6db5fd9de3b0.jpg)
/uploads/diary_image/file/172034/351df291-6eed-48f0-9c27-d21078e92866.jpg)
/uploads/diary_article_image/file/795265/9cb46709-5cdb-4790-a5e4-103b842da54e.jpg)
/uploads/diary_image/file/152442/e41355fa-3342-46c7-b28a-16a77de2801c.jpg)
![トリビュー [TRIBEAU] インストール](/_next/image?url=%2Ffrontend%2Fimg%2Fbanner%2Ffooter_mobile.png&w=1920&q=75)
