- ROOTS Clinicの口コミ一覧
- siro11さんの施術の口コミ
クリニックまたは書類提出にて施術の実施を確認済
1
/
17
BEFORE
BEFORE
AFTER
AFTER
DAY 64
DAY 64
DAY 64
DAY 64
DAY 24
DAY 24
DAY 24
DAY 24
DAY 23
DAY 23
DAY 20
DAY 20
DAY 12
DAY 12
ROOTS Clinicの二重埋没・目頭切開・クマ治療の術後経過|ユーザー名:siro11
7件の口コミ・31枚の写真
総合満足度
ドクター、クリニックの対応
価格満足度
仕上がり・効果
ドクター・クリニックの対応
郭 天元 ROOTS Clinic
【ドクター、スタッフの対応】
時間をかなり長めに取って丁寧にカウンセリングしてくださるので安心感がありました。
先生もカウンセラーの方も看護師さんも皆さん親切です。
【このクリニックを選んだ理由】
立地が良い
症例・投稿写真が好み
クリニックの清潔感がある
【ドクターを選んだ理由】
院長
症例写真が好み
仕上がり・効果
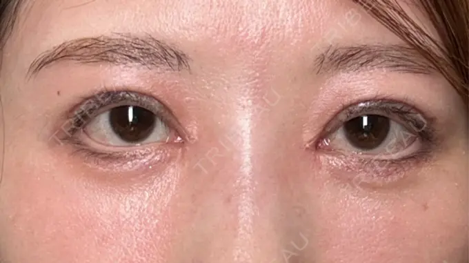
二重埋没 / 目頭切開 / クマ治療
【このメニューに決めた理由】
元々二重の幅を広げたかったのと目頭切開をしたかった為。
クマとりは以前ちがうクリニックで施術したことがあったが取り残しがあり先生に勧められた為。
【施術の流れや痛み】
笑気麻酔→局所麻酔→目頭切開→二重埋没→ブロック麻酔→クマとり
痛みに関しては局所麻酔が少し、ブロック麻酔はそれより更にもう少し、先生曰くクマとりが2回目で癒着していた為目尻側がけっこう痛かった。
それ以外は全く痛くなかった。
経過
Loading
関連するクチコミ
すべて見る
1126
12
/uploads/diary_article_image/file/80650/7a98aef4-7566-41ce-9b74-c451b6afb572.jpg)
/uploads/diary_image/file/9078/17bc6958-f4cc-4e7c-8c0a-49e95f551e9f.jpg)
/uploads/diary_article_image/file/613892/30b29758-2ad3-47a1-9a30-3987c0c2fdc9.jpg)
/uploads/diary_image/file/55717/4359dde3-f1b0-443e-b437-aa5638b587a6.jpg)
/uploads/diary_article_image/file/484965/5a43a1b9-c138-4ff6-9753-c7559178c90a.jpg)
/uploads/diary_image/file/45031/93283f79-a9ec-418c-8b73-8fbc19f4bd33.jpg)
/uploads/diary_article_image/file/94078/995ead85-2566-4f7a-8348-5be2af9e66bf.jpg)
/uploads/diary_image/file/1584/4737ec00-0342-4b1b-861a-1e924fc367b5.png)
/uploads/diary_article_image/file/14375/368c1e19-2002-4ed2-81a8-d1f5518b32b1.jpg)
/uploads/diary_image/file/3005/be90354c-0ffe-4d37-b12d-fddc5d5fa6a4.jpg)
/uploads/diary_article_image/file/858030/fc9c1d9a-da61-4dab-ba57-da17e3e7e835.jpg)
/uploads/diary_image/file/6901/f66f80d5-3817-4798-961c-cd580ba3a741.jpg)
/uploads/diary_article_image/file/24139/f61bcca0-1639-4979-8cdf-4d87bd643861.jpg)
/uploads/diary_image/file/3400/73e012c5-7a81-447b-af4a-3050b1acaae1.jpg)
/uploads/diary_article_image/file/223798/5c5fb747-6f42-492f-97ca-91e9d5f1aa4b.jpg)
/uploads/diary_image/file/36248/8b09e815-1ae7-4c3a-ad3a-9466539a351b.jpg)
/uploads/diary_article_image/file/105743/a6e5698f-f62a-4adf-969b-cf4692b266cc.jpg)
/uploads/diary_image/file/3163/b1f825bb-ddbe-4df1-a0df-b8ad343efd3e.jpg)
/uploads/diary_article_image/file/43757/61ad6b42-8113-4653-8346-d189f9f570ef.jpg)
/uploads/diary_image/file/3414/4bcdda9e-548b-4442-a97c-b55f48f3a384.jpg)
![トリビュー [TRIBEAU] インストール](/_next/image?url=%2Ffrontend%2Fimg%2Fbanner%2Ffooter_mobile.png&w=1920&q=75)
