- 南青山矯正歯科の口コミ一覧
- らてさんの施術の口コミ
クリニックまたは書類提出にて施術の実施を確認済
1
/
17
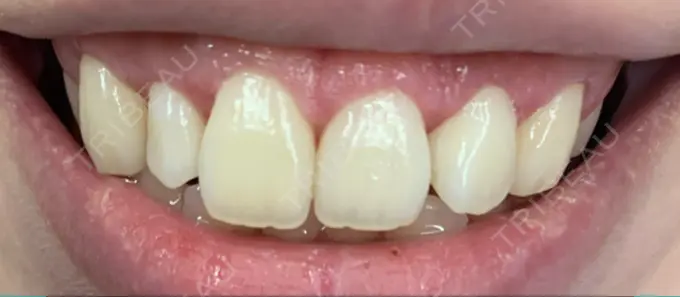
BEFORE
BEFORE
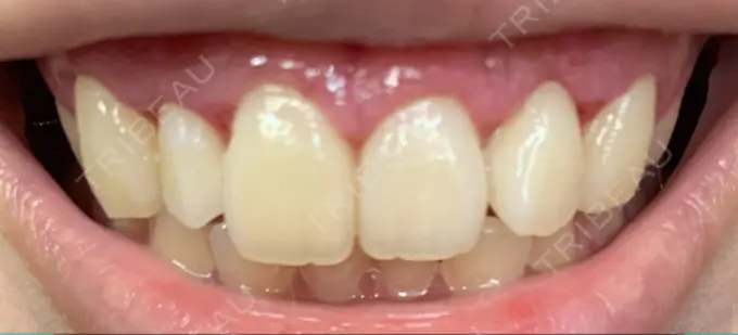
AFTER
AFTER
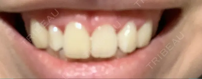
DAY 14
DAY 14
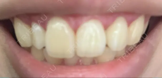
DAY 13
DAY 13
DAY 12
DAY 12
DAY 11
DAY 11
DAY 10
DAY 10
DAY 9
DAY 9
DAY 8
DAY 8
南青山矯正歯科のガミースマイル手術・その他(口元)・その他(審美歯科/矯正歯科)の術後経過|ユーザー名:234532
1件の口コミ・17枚の写真
総合満足度
ドクター、クリニックの対応
価格満足度
仕上がり・効果
ドクター・クリニックの対応
斎藤 華子 南青山矯正歯科
【ドクター、スタッフの対応】
親身に話を聞いてくれるけれど、そこまで親切も押し付けがましくなくちょうど良かったです。
【このクリニックを選んだ理由】
施術費用が安い
トリビューで評価が高い
モニター募集がある
トリビューを参考にして、有村藍里さんが受けたクリニックだと知ったからです。
【ドクターを選んだ理由】
とくに指名せず、金曜日限定モニターで予約したときに診察してくれた先生です。
仕上がり・効果
ガミースマイル手術 / その他(口元) / その他(審美歯科/矯正歯科)
【このメニューに決めた理由】
ガミースマイルに悩んでいて、でもなかなか大掛かりな手術は私の環境としては難しかったです。
そこでマスクが必須の時期にダウンタイムがあるものの、そこまで派手ではないしその上、費用も安めな割に効果がありそうなのでやりました
【施術の流れや痛み】
以前、整形とは関係なく歯を抜くために歯茎に麻酔を打った時、苦くて痛かった思い出がありましたが今回は痛くなかったし不味くもなかったです。でもしっかり麻酔が効いていて痛みもほとんどなかったです。一部、沁みるようなキーンとした痛みがある歯もありましたが耐えられないものではありません。
その他
術中、痛くはありませんがかなり臭いがきついです。表現しづらいですが、ものすごくまずい肉を限界まで焦がした臭いがたちこめます。術後にうがいをしてかなり臭いはなくなりますが、その1日はその焦げた風味が口に残り気分が悪くなりました。
経過
Loading
ドクター・クリニック
担当したドクター
施術を受けたクリニック
東京メトロ銀座線「外苑前駅」1a出口より徒歩2分 ・東京メトロ銀座線、半蔵門線、千代田線「表参道駅」A4出口より徒歩7分 ・東京メトロ銀座線、半蔵門線、都営大江戸線「青山一丁目駅」3番出口より徒歩8分
南青山矯正歯科
口コミ9件
症例0件
初回予約は10%ポイント還元対象
関連するクチコミ
すべて見る
/uploads/diary_article_image/file/290782/39f785c1-0caa-441c-b293-472b750994b4.jpg)
/uploads/diary_image/file/33784/22fcd11d-47d4-4a1d-b872-85271ce1cf69.jpg)
/uploads/diary_article_image/file/34761/0b8da4d7-657a-40d7-8896-62590eec1966.jpg)
/uploads/diary_image/file/6597/389df44f-7dd4-4640-b603-0b268ee8dfb3.jpg)
/uploads/diary_article_image/file/430362/5dc30832-d14e-463a-9504-ba6472b5a47c.jpg)
/uploads/diary_image/file/24811/72537f53-4355-4a5c-88f1-66243ce87c48.jpg)
/uploads/diary_article_image/file/16441/ec22aa08-0818-4db1-b43c-3be834766474.jpg)
/uploads/diary_image/file/3591/60c1f805-35f3-404e-9db7-27e4d85bab74.jpg)
/uploads/diary_article_image/file/270903/42796477-9564-42ef-a03a-a4c87ee4b7c2.jpg)
/uploads/diary_image/file/31349/c21a5a5c-9c1e-4645-9423-e8ace75bac7d.jpg)
/uploads/diary_article_image/file/109617/a133fd9a-f65d-4526-add5-a761d8f6ab78.jpg)
/uploads/diary_image/file/16588/d6db0f0b-eb7d-4bb8-a03d-6ea3ae57439c.jpg)
/uploads/diary_article_image/file/172031/82006794-5d50-478d-8869-f84fde0a388f.jpg)
/uploads/diary_image/file/16324/c27e3f45-2d7d-47b1-81b2-f2edb6b0bc4b.jpg)
/uploads/diary_article_image/file/425361/7ed70c16-28cc-4359-b7eb-8e15e501a806.jpg)
/uploads/diary_image/file/54464/555dd614-bae2-457a-9df3-b77a76993481.jpg)
/uploads/diary_article_image/file/89600/ae20ff69-49b3-4d92-b2be-4444dede2c51.jpg)
/uploads/diary_image/file/15247/97c338b2-3dd0-4331-a215-0172a2ed0ba2.jpg)
/uploads/diary_article_image/file/508406/6f790ea7-c7e2-4ba5-817d-b81368222638.jpg)
/uploads/diary_image/file/72619/a16eb280-1f74-43ba-b5f0-54120d5d535b.jpg)
![トリビュー [TRIBEAU] インストール](/_next/image?url=%2Ffrontend%2Fimg%2Fbanner%2Ffooter_mobile.png&w=1920&q=75)
